
“应该是我前几天吃点心时不小心把红枣核吞下去了。”目前已经恢复饮食的张阿婆在病床上懊悔不已。原来,这位七十多岁的老人因误吞一枚枣核而引发了肠穿孔,经过了手术才脱离了生命危险。
近日,张阿婆吃完一碗红枣南瓜汤后,突然出现了“肚子疼”,以为只是“胃病”的她自行服用胃药后症状并没有缓解,反而有加重趋势,家人将她送到了温州市中心医院急诊科。急诊室医生接诊后,发现张阿婆腹痛较剧烈、存在腹膜炎的征象,迅速为其完善了相关检查。
急诊外科陈峰主任接到会诊通知后,率先赶到了现场,结合患者病史、查体以及辅助检查,考虑“消化道穿孔”,手术指征是明确的,但是“拦路虎”也摆在面前,高龄的张阿婆不仅存在慢性肾功能不全、支气管哮喘、血小板增多症、高血压、糖尿病等多种疾病,既往有“肺栓塞”病史的她长期口服抗凝药物华法林,无论是术中,还是术后都存在腹腔出血以及脏器功能衰竭的风险。在与患者家属充分沟通后,急诊外科团队顶着巨大的压力为张阿婆开展了急诊手术。
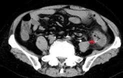
完善术前准备后,随后的手术立即紧张有序展开,陈峰主任术中探查发现一枚尖尖的枣核扎穿了结肠,仍有粪液不断流出,手术组迅速取出了枣核并进行了肠造瘘。术后经过一系列治疗后,老人顺利渡过了危险期,现在已基本康复准备出院。
消化道异物穿孔引发的急腹症是急诊的常见病之一,尖锐的异物在消化道内随蠕动前行,尖端嵌插在肠壁后,随着后方内容物的推进而插入更深直至穿孔。老年患者对腹痛耐受导致入院时往往多有较重的急性腹膜炎症状及体征,此外其对病史诉说不详,病灶定位不准确,都增加了对疾病的诊治难度。
陈峰主任介绍道,其实有关吞食枣核引发肠梗阻、肠穿孔的报道已经屡见不鲜,我们在日常生活中一定要养成细嚼慢咽的饮食习惯。吃红枣时一定要吐核,切勿囫囵吞枣,因为枣核为异物,难以被消化吸收,在消化道中下移的过程中极易划伤消化道,甚至刺破肠管,进而导致消化道穿孔的发生,一旦确诊,需要及时手术取出异物,严重者甚至还有可能要行肠切除术,否则腹痛只会一步加重,后果不堪设想。


温州市中心医院急诊外科以外科急诊急救创伤为主,下设急诊外科门诊和急诊外科病房,形成了急诊、急救、手术三位一体的外科急诊医疗新模式。科室成员具有娴熟的创伤救治技能,以及丰富的普外科手术和微创手术经验,为患者从来急诊就医到手术提供了快速而专业的精湛技术和优良服务。